Peel da là xu hướng làm đẹp đang được ưa chuộng trong những năm gần đây, với khả năng loại bỏ các tế bào chết và thúc đẩy quá trình tái tạo tự nhiên của làn da, từ đó mang đến làn da mịn màng, tươi sáng và đều màu rạng rỡ hơn, hỗ trợ cải thiện các vấn đề trên bề mặt da như mụn, sẹo, tăng sắc tố.
Tuy nhiên, peel da là thủ thuật sử dụng các dung dịch acid có tính phá hủy tế bào để gây ra những tổn thương có kiểm soát trên da. Sau khi peel làn da sẽ trở nên cực kỳ nhạy cảm, hàng rào bảo vệ da suy yếu, dễ bị các tác nhân từ bên ngoài tấn công. Do đó, làn da cần một quy trình chăm sóc sau peel đúng cách để giúp quá trình điều trị phát huy tối đa hiệu quả và đạt được kết quả như mong đợi.
Không đề cập đến các thành phần Panthenol, Hyaluronic acid và Ceramide vốn đã quá “quen mặt” với những ai thường xuyên sử dụng treatment hoặc thực hiện các biện pháp xâm lấn như peel da, lăn kim hay laser, hôm nay SSRX sẽ giới thiệu đến các bạn một thành phần mới mẻ hơn, mang nhiều tiềm năng và cho khả năng phục hồi da mạnh mẽ không hề kém cạnh - đó chính là Đồng peptide. Bên cạnh đó, chúng tớ còn gợi ý thêm chu trình skincare khoa học giúp hỗ trợ bạn phục hồi làn da sau peel một cách tốt nhất. Cùng tìm hiểu ngay nhé!
I. Đồng peptide - hoạt chất phục hồi da sau peel

1. Đồng peptide là gì?
Đồng peptide là một phức hợp giữa ion Cu2+ và chuỗi Peptide GHK (viết tắt của 3 loại acid amin: glycyl-L-histidyl-L-lysine) vốn có mặt trong dịch cơ thể (huyết tương, nước bọt và nước tiểu) của con người nhưng giảm dần theo tuổi tác. Điều đó đồng nghĩa với việc Đồng peptide vốn dĩ là một thành phần tự nhiên và có hoạt tính sinh học trong cơ thể chúng ta.
2. Vai trò của Đồng peptide
a) Phục hồi và sửa chữa các thương tổn trên da
GHK-Cu làm lành thương hiệu quả nhờ khả năng kích thích tổng hợp các thành phần cấu trúc da như collagen, elastin và glycosaminoglycan (GAGs), điều chỉnh hoạt động của các metalloproteinase (enzyme phân giải collagen) giúp ngăn ngừa sự tích tụ của các collagen bị hư hỏng. GHK-Cu cũng được chứng minh tác dụng có lợi đối với các nguyên bào sợi - tiền tế bào chủ chốt trong quá trình tái tạo da. Nguyên bào sợi không chỉ tổng hợp các nhân tố cấu trúc của nền da mà còn sản xuất một loạt các nhân tố tăng trưởng cần thiết cho quá trình sửa chữa da.
b) Tái tạo mô sẹo
GHK-Cu có một tính năng đặc biệt, chúng phá vỡ các sợi collagen hư tổn hay có kích thước quá lớn gây sẹo lồi và kích thích sản xuất các collagen khỏe mạnh sau đó. Vì vậy, GHK-Cu được sử dụng phổ biến sau các liệu trình điều trị sẹo.
c) Kháng khuẩn, kháng viêm
GHK-Cu ức chế các cytokine tiền viêm như TGF-β and TNF-α nên có tác dụng kháng viêm mạnh, có thể được sử dụng như một chất bôi ngoài da trong điều trị các tình trạng viêm da thay thế cho corticosteroid.
d) Chống lão hoá, cải thiện nếp nhăn
Nhờ khả năng làm tăng sinh các thành phần cấu trúc da như collagen, elastin, glycosaminoglycans và proteoglycans, GHK-Cu có ý nghĩa quan trọng trong công cuộc chống lão hóa và làm trẻ hoá làn da. Đặc biệt, GHK-Cu được đánh giá mang lại hiệu quả không thua kém Retinol, thậm chí vượt trội hơn nhờ khả năng làm lành thương, kiểm soát tình trạng viêm và chống oxy hóa,mà ít gây các tác dụng phụ như Retinol.
e) Chống oxy hoá, bảo vệ da khỏi tia UV
GHK làm bất hoạt các gốc tự do vốn là sản phẩm phụ gây hại từ quá trình peroxy hóa lipid, kích thích hệ thống chống oxy hóa nội tại của cơ thể như superoxide dismutase, bảo vệ tế bào khỏi tia cực tím (UV).II. Chu trình chăm sóc giúp phục hồi làn da sau peel
- Thoa Kem phục hồi da hư tổn Hyaestic NMF Light-Weight Hydrating Cream tại chỗ để làm dịu da tức thì.
- Sau khi về nhà, dùng Nước xịt khoáng Avène Thermal Spring Water nhẹ nhàng làm sạch da.
- Rửa mặt với Gel rửa mặt Martiderm Essentials Micellar Cleansing Gel vào sáng hôm sau (hoặc không rửa, tùy theo chỉ định của bác sĩ).
- Bắt đầu bước phục hồi da bằng cách cho 1-2 giọt Tinh chất oh!oh! Flawless Abyss Serum (có chứa Đồng Peptide) vào Tinh chất tế bào gốc, tái tạo da oh!oh! Oatmere Serum và thoa lên da. Trong trường hợp da khoẻ, còn chịu được thì có thể bôi trực tiếp Đồng Peptide lên da mà không cần pha loãng.
- Tiếp tục sử dụng kem dưỡng NMF mix với Hyaestic Scar Recovery & Barrier Strengthen Cream theo tỷ lệ 3:1.
- Cuối cùng, khóa lại bằng Tinh chất dưỡng ẩm chuyên sâu oh!oh! HA & Proteoglycans Amber Serum. Một ngày có thể sử dụng từ 3-8 lần để giúp cung cấp độ ẩm chuyên sâu và thúc đẩy da phục hồi, tái tạo tốt hơn.
- Sau mỗi vài tiếng, bạn nên dùng xịt khoáng để lau đi khi lớp kem khô (dùng rất nhiều) và thoa lại các bước dưỡng.
- Sau 2 ngày, bạn có thể cân nhắc bổ sung thêm Retinol hoặc vitamin C 10% trong trường hợp da sẹo - tuy nhiên cần hỏi ý kiến bác sĩ trước khi dùng.
- Sau 7 ngày, cần bổ sung thêm Tinh chất phục hồi 3% Vitamin B5 Hyaestic B5 Revital Serum (lưu ý nên patch test trước để kiểm tra xem da có gặp tình trạng rát, châm chích hay không) và một số hoạt chất khác như Vitamin B3 / NAG có trong oh!oh! Skin Health Serum (with 20% Niacinamide & 2% Acetyl Glucosamine).

1. Kem phục hồi da hư tổn Hyaestic NMF Light-Weight Hydrating Cream

Hyaestic NMF Light-Weight Hydrating Cream với các thành phần hoạt chất chính bao gồm:
- NMF (Natural Moisturizing Factor) đóng vai trò quan trọng trong quá trình hydrat hóa lớp sừng, cân bằng độ ẩm cho làn da, tăng cường sự đàn hồi cho làn da, chống lại các tình trạng bong tróc, khô da, nứt nẻ.
- Saccharide Isomerate là một phức hợp Carbohydrate có nguồn gốc từ thực vật, tương đồng với cấu trúc lớp carbohydrate của da người. Nhờ đó, Saccharide Isomerate kết dính trên da tốt, mang lại tác dụng siêu cấp ẩm mạnh mẽ, có thể kéo dài đến 72 giờ.
- Bơ hạt Mỡ (Butyrospermum Parkii (Shea) Butter) là thành phần dưỡng ẩm tự nhiên có tác dụng làm mềm và làm dịu da, hỗ trợ bảo vệ da khỏi các tác nhân từ tia cực tím. Bên cạnh đó, chiết xuất bơ hạt mỡ còn giàu các loại vitamin A, E, F và K có công dụng chống lão hóa, cải thiện nếp nhăn cho da.
- Glycine Soja (Soybean) Sterols hỗn hợp của phytosterol thu được từ đậu nành tạo nên một hàng rào bảo vệ trên da, ngăn ngừa tình trạng mất nước qua lớp biểu bì.
- Dầu quả Bơ (Persea Gratissima (Avocado) Oil) giúp nuôi dưỡng một làn da khỏe mạnh, hoạt động trên bề mặt ngăn chặn sự mất nước và duy trì độ ẩm cho da mềm mại.
- Bơ hạt Xoài (Mangifera Indica (Mango) Seed Butter) có tác dụng làm mềm da khi tiếp xúc, giữ ẩm, chứa hợp chất Phenolic chống lão hóa, giúp làm chậm quá trình hình thành nếp nhăn, vết chân chim.
- Allantoin là thành phần làm dịu da phổ biến, có khả năng thúc đẩy quá trình chữa lành khi da tổn thương, đồng thời làm mềm da, hỗ trợ giải quyết các tình trạng bong tróc, khô ráp, kích ứng da.
Đặc biệt, kết cấu của sản phẩm rất mỏng nhẹ và thoáng da, không gây nhờn rít, không làm bít tắc lỗ chân lông. Do đó, Hyaestic NMF Hydrating Cream hoàn toàn có thể dùng được cho mọi loại da kể cả da mụn, da nhạy cảm, da sau treatment hoặc thực hiện các thủ thuật xâm lấn.
>>> Xem chi tiết và đặt mua sản phẩm tại ĐÂY.
2. Tế bào gốc trẻ hoá và hỗ trợ phục hồi làn da sẹo Hyaestic Scar Recovery & Barrier Strengthen Cream

Sản phẩm chứa phức hợp 6 loại Peptide cao cấp giúp củng cố hàng rào bảo vệ da, đẩy nhanh quá trình phục hồi, tăng sinh collagen và chống lão hóa:
- EGF (Yếu tố tăng trưởng biểu bì) (sh-Oligopeptide-1) kích thích sự phát triển, tăng sinh và biệt hóa tế bào, đẩy nhanh quá trình tái tạo da.
- bFGF (Yếu tố tăng trưởng nguyên bào sợi cơ bản) (sh-Polypeptide-1) hoạt động như một điểm kiểm soát ghi nhận các bất thường trong quá trình tăng trưởng tế bào, là yếu tố thúc đẩy quá trình sừng hóa.
- IGF-1 (Insulin-like Growth Factor) (sh-Oligopeptide-2) bản chất là một hormone tăng trưởng nên IGF-1 kích thích tế bào phát triển, sản sinh ECM (Extracellular Matrix - cấu trúc nền).
- TGF-beta-1 (Transforming Growth Factor-Beta-1) (sh-Polypeptide-22) là loại protein thực hiện nhiều chức năng của tế bào, bao gồm kiểm soát sự phát triển, tăng sinh tế bào, biệt hóa tế bào và quá trình chết theo chương trình.
- Palmitoyl Tetrapeptide-7 & Palmitoyl Tripeptide-1 là bộ đôi được đánh giá với khả năng làm giảm viêm, ngăn ngừa lão hóa, cải thiện kết cấu mô liên kết dưới da.
- Tetrapeptide-14 là một peptide làm dịu, giảm đỏ rát kích ứng, hoạt động bằng cách điều hòa, làm giảm interleukin-6 một phân tử tín hiệu trong quá trình viêm.
Hyaestic Scar Recovery & Barrier Strengthen Cream được thiết kế với công nghệ gel silicone tự khô có khả năng bao phủ toàn bộ vết thương, giúp tăng cường độ ẩm tại chỗ, làm mềm và bảo vệ vết sẹo. Nhờ vào quá trình tạo màng bảo vệ và giữ ẩm xuyên suốt, đấy sẽ là cơ chế kích thích sản sinh collagen và elastin góp phần ngăn ngừa hình thành sẹo xấu, đồng thời cải thiện vẻ ngoài thẩm mỹ của sẹo.

Ngoài ra, công thức sản phẩm còn được bổ sung thành phần Coenzyme Q10 giúp thúc đẩy quá trình tái tạo tế bào, duy trì độ đàn hồi của da và vô hiệu hóa các gốc tự do, bảo vệ sự toàn vẹn của tế bào. Kết hợp với các thành phần dưỡng ẩm tự nhiên như Glycerin, HA giúp làm dịu da, giảm kích ứng da và các chiết xuất thực vật giúp kích thích tái tạo mô da, làm dịu làn da bị kích ứng đồng thời còn có tác động chống oxy hóa, chống lão hóa cho da.
>>> Xem chi tiết và đặt mua sản phẩm tại ĐÂY.
3. Tinh chất phục hồi 3% Vitamin B5 Hyaestic B5 Revital Serum
Vitamin B5 vốn nổi tiếng là thành phần dưỡng ẩm, phục hồi da hiệu quả. Và sản phẩm Hyaestic B5 Revital Serum với nồng độ 3% vitamin B5 kết hợp cùng 1% phức hợp HA sẽ là giải pháp giúp cung cấp độ ẩm tối ưu nhưng vẫn thoáng nhẹ trên da, giảm thiểu nguy cơ bí tắc da do dư ẩm. Bên cạnh đó, sản phẩm còn giúp thúc đẩy quá trình làm lành da diễn ra mạnh mẽ, đồng thời làm dịu các phản ứng của làn da như châm chích, mẩn đỏ. Tinh chất Hyaestic B5 Revital Serum đặc biệt phù hợp để sử dụng sau các biện pháp xâm lấn làm đẹp nhằm phục hồi và nâng cao hiệu quả làm đẹp trọn vẹn hơn.

Các thành phần chính có mặt trong sản phẩm:
- 3% vitamin B5 kích thích tăng sinh nguyên bào sợi, giúp đẩy nhanh quá trình phục hồi và làm lành vết thương; cung cấp và duy trì độ ẩm cho da; đồng thời làm dịu da, giảm ngứa, kích ứng, mẩn đỏ trên da.
- 1% phức hợp HA cấp nước, tăng độ đàn hồi, giảm sự hình thành nếp nhăn.
- Chiết xuất lô hội giúp giữ ẩm, làm dịu và phục hồi da.
- Sodium PCA giúp làm tăng hàm lượng nước bằng cách hút ẩm từ không khí.
- Glycerin có tác dụng cấp ẩm, làm mềm, làm dịu da.
>>> Xem chi tiết và đặt mua sản phẩm tại ĐÂY.
4. Gel rửa mặt cho mọi loại da Martiderm Essentials Micellar Cleansing Gel

Sản phẩm ứng dụng công nghệ làm sạch Micellar chứa các phân tử mi-xen có tác dụng “bẫy” và loại bỏ các lớp trang điểm, bụi bẩn, ô nhiễm, dầu nhờn nằm sâu trong lỗ chân lông. Điểm nổi bật của công nghệ này chính là khả năng làm sạch da hiệu quả nhưng không lấy đi độ ẩm cần thiết trên da, từ đó trả lại bề mặt da sạch thoáng, mịn màng & tươi mới hơn mà không hề khô căng.
Bên cạnh đó, Gel rửa mặt Martiderm Essentials Micellar Cleansing Gel còn chứa:
- Prebiotics (bao gồm Lactitol & Xylitol) có khả năng tái tạo, cân bằng và bảo vệ da khỏi các tác nhân bên ngoài; giúp khôi phục cân bằng của hệ sinh thái ở da bằng cách thúc đẩy sự phát triển của các lợi khuẩn để chống lại các vi khuẩn có hại, góp phần củng cố hàng rào bảo vệ da khỏe mạnh, từ đó ngăn ngừa được những tổn thương trên da và tăng cường thêm khả năng chống lão hóa.
- Chiết xuất Hoa Nhung Tuyết (Edelweiss) dưỡng ẩm và bảo vệ lớp biểu bì da, giúp trung hòa gốc tự do, ngăn ngừa tác hại của tia UV dẫn đến lão hoá sớm và ung thư da, hỗ trợ duy trì làn da tươi trẻ, đàn hồi và săn chắc.
- Glycerin và Panthenol giúp cấp ẩm và giữ ẩm cho da lên đến 24 giờ, mang lại một làn da mịn màng & ẩm mượt.
>>> Xem chi tiết và đặt mua sản phẩm tại ĐÂY.
5. Tinh chất dưỡng ẩm chuyên sâu, phục hồi & trẻ hóa da oh!oh! HA & Proteoglycans Amber Serum

Không chỉ đơn thuần là một loại serum cấp ẩm, Amber Serum của oh!oh! sở hữu công thức đột phá với 3.1% Hyaluronic Acid đa kích thước phân tử kết hợp với 5% phức hợp Proteoglycans giúp cung cấp độ ẩm tối ưu đến đa tầng da, ngăn ngừa mất nước trên bề mặt, đồng thời hỗ trợ tạo nên cấu trúc đệm dưới da, liên kết các sợi Collagen, từ đó duy trì kết cấu da săn chắc và căng mịn đàn hồi.
- 3.1% Hyaluronic Acid được xem là nồng độ cao nhất trên thị trường tính đến thời điểm hiện tại. Sản phẩm sử dụng HA đa kích thước phân tử sẽ giúp phân phối độ ẩm đến đa tầng da, từ đó cân bằng lượng nước trên da, cải thiện tình trạng khô sạm, hạn chế biểu hiện của các dấu hiệu lão hóa. Đồng thời, HA cũng đóng vai trò quan trọng trong quá trình chữa lành và hồi phục các tổn thương trên da. Cụ thể, HA làm tăng các yếu tố cần cho quá trình chữa lành vết thương (*) và làm tăng sự lắng đọng của collagen trong quá trình tái tạo mô (**).
- 5% Proteoglycans Complex giúp bổ sung lượng Proteoglycans trong cấu trúc thượng bì bị thiếu hụt, tăng cường hydrat hoá da, duy trì làn da khoẻ mạnh.
- Được bổ sung phức hợp các Peptide (Acetyl Hexapeptide-8, Oligopeptide-29, Oligopeptide-32, Copper Tripeptide-1) giúp kích thích sản sinh Collagen, Elastin và Glycosaminoglycans trong da, sửa chữa các tế bào tổn thương DNA, kích thích cơ chế tự phục hồi của tế bào da và ngăn ngừa tình trạng lão hóa sớm.
- Ceramide NP và phức hợp các axit amin giúp củng cố hàng rào bảo vệ da qua cơ chế tăng cường nhóm chất thiết yếu NMF.
- Niacinamide, Arbutin giúp dưỡng sáng, làm đều màu da.
- Allantoin được chiết xuất từ lá và rễ cây Hoa Chuông giúp làm dịu da, hạn chế tình trạng mẩn đỏ, kích ứng trên da.

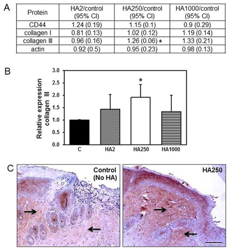
HA2 làm tăng đáng kể biểu hiện TGF-β1 (một yếu tố tăng trưởng cần cho sự lành vết thương (p <0,05), CD44 (p <0,005) và collagen I (p <0,05). HA1000 có liên quan đến mức độ cao hơn đáng kể của CD44 (p <0,005), RHAMM (p <0,005), collagen III (p <0,05) và collagen I (p <0,05).[1]
(**) Hyaluronic acid làm tăng sự lắng đọng của collagen trong quá trình tái tạo môCác nghiên cứu cũng đã chứng minh có sự thay đổi đáng kể (lớn hơn 25%) về sự gia tăng collagen III ở vết thương được điều trị bằng HA250 so với vết thương đối chứng.[1]

Sau sự đông máu của quá trình làm lành vết thường là phản ứng viêm với các biểu hiện kinh điển: sưng, nóng, đỏ, đau. Dù là điều cần thiết của quá trình làm lành vết thương nhưng nếu không có sự kiểm soát, các biểu hiện trên sẽ ảnh hưởng đến tính thẩm mỹ và tâm lý và sinh hoạt hàng ngày.[1]
Thông qua việc tương tác với thụ thể CD16844, HA kiểm soát lượng bạch cầu di chuyển đến vị trí tổn thương, cho phép một lượng đủ cần cho quá trình làm lành vết thương cũng như hạn chế các phản ứng viêm quá mức, giảm độ sưng tấy, cải thiện tính thẩm mỹ vùng da bị tổn thương.[1]
6. oh!oh! Oatmere Serum + oh!oh! Flawless Abyss Serum
Làn da chúng ta có cơ chế tự phục hồi và tái tạo sau khi thực hiện các thủ thuật xâm lấn. Tuy nhiên, quá trình này sẽ diễn ra chậm hơn và kém hiệu quả nếu không có sự bổ trợ thêm các sản phẩm giúp nuôi dưỡng da khỏe mạnh từ bên trong.
SSRX gợi ý đến bạn bộ đôi chuyên dụng hỗ trợ tối ưu hóa hiệu quả điều trị - oh!oh! Oatmere Serum và oh!oh! Flawless Abyss Serum - với sự kết hợp của các hoạt chất tái cấu trúc, phục hồi da sáng giá như Copper Tripeptide-1, chiết xuất bột yến mạch và đặc biệt là yếu tố tăng trưởng tế bào EGF. Bộ đôi siêu phẩm này không chỉ giúp tăng tốc độ làm lành vết thương mà còn hỗ trợ tăng sinh collagen làm đầy sẹo, hạn chế nguy cơ tăng sắc tố sau viêm, duy trì độ ẩm cần thiết cho làn da sau các bước can thiệp thẩm mỹ tại phòng khám.
Tinh chất tế bào gốc, tái tạo da oh!oh! Oatmere Serum (with 4.5% Oat Extract & 9,9ppm EGF)
Oatmere Serum là giải pháp hữu hiệu cho những làn da tổn thương sau điều trị laser, lăn kim, peel hoặc da treatment cần phục hồi. Sản phẩm được ứng dụng yếu tố tăng trưởng biểu bì (EGF) vào công thức giúp thúc đẩy khả năng tự chữa lành của da, trì hoãn quá trình lão hóa từ đó hỗ trợ phục hồi, cải thiện kết cấu và trẻ hóa da từ bên trong.

Sản phẩm là sự kết hợp ưu việt của hai hoạt chất:
- 9.9 ppm EGF (yếu tố tăng trưởng biểu bì) là một trong những protein tự nhiên của tế bào có chức năng duy trì và bảo vệ biểu mô. Với cơ chế kích thích tăng trưởng ở cấp độ tế bào, EGF hoạt động như một chất sửa chữa, phục hồi làn da tổn thương, hỗ trợ tái cấu trúc và nuôi dưỡng một làn da khoẻ mạnh. Ngoài ra, EGF kiểm soát sự tăng sinh bất thường của mô sẹo, do đó, giảm nguy cơ hình thành sẹo lồi sau điều trị. Đồng thời, EGF còn giúp cải thiện các nếp nhăn cũ và giảm sự xuất hiện của nếp nhăn mới. Đặc biệt, EGF từ oh!oh! có nguồn gốc từ gen người và sản xuất ở độ tinh khiết cao mang lại khả năng tương thích sinh học tốt. Đây chính là một trong những nguyên nhân khiến cho các sản phẩm chứa EGF tốt có giá không hề thấp.

- 4.5% Chiết xuất bột yến mạch (Oat extract) với đặc tính làm dịu hiệu quả, chống viêm, chữa lành tổn thương da và duy trì trạng thái da ẩm mượt. Protein từ yến mạch tạo thành một hàng rào bảo vệ da khỏi các tác nhân bên ngoài và ngăn ngừa mất độ ẩm. Nồng độ cao tinh bột và beta-glucan từ yến mạch mang lại tác dụng bảo vệ và giữ nước cho da. Các chất chống oxy hóa mạnh như avenanthramides, vitamin E, ferulic acid, caffeic acid giúp yến mạch có đặc tính kháng viêm. Chiết xuất yến mạch cũng hoạt động như một chất đệm giúp khôi phục độ pH của da về mức bình thường. Đặc biệt, Avenanthramides trong yến mạch là các hợp chất phenolic có hoạt tính kháng viêm mạnh, Avenanthramides ức chế NF-KB (protein kiểm soát các nhân tố gây viêm) trong tế bào sừng và ức chế giải phóng cytokine IL-8 (chất trung gian của phản ứng viêm).
>>> Xem chi tiết và đặt mua sản phẩm tại ĐÂY.
Tinh chất giảm sẹo lõm oh!oh! Flawless Abyss Serum
Như chúng tớ đã đề cập ở phần trên, Đồng Peptide được xem là một thành phần phục hồi da đầy tiềm năng. Và ứng cử viên sáng giá sở hữu hoạt chất vượt trội này chính là tinh chất oh!oh! Flawless Abyss Serum - mang sức mạnh chữa lành và chống lão hoá mạnh mẽ từ Đồng Peptide.

Với công thức tiên tiến chứa 1.2% GHK-Cu (Copper Tripeptide) không chỉ mang lại màu xanh đẹp mắt cho sản phẩm mà còn giúp bổ sung lượng GHK-Cu cơ thể đang thiếu hụt, từ đó tăng cường tốc độ tự phục hồi của da, thúc đẩy quá trình chữa lành các mô da bị tổn thương, tăng sinh Collagen và Elastin giúp cho quá trình làm lành vết thương được hoàn chỉnh và đạt tính thẩm mỹ. Bên cạnh đó, thành phần này cũng có tác dụng chống oxy hoá, làm dịu các phản ứng của da tổn thương như căng rát, đỏ, ngứa, bong tróc,... đồng thời ngăn ngừa tăng sắc tố sau viêm, giảm thiểu nguy cơ hình thành vết thâm sau điều trị.
Chỉ riêng GHK-Cu vẫn chưa làm nên chuyện, nhà sản xuất còn bổ sung thêm hàm lượng 9.9ppm EGF, từ đó tạo nên sự kết hợp hoàn hảo giúp sửa chữa và tái cấu trúc da toàn diện hơn. EGF giúp thúc đẩy sự tăng sinh của tế bào biểu bì, tạo tín hiệu cho nguyên bào sợi tổng hợp Collagen và Elastin từ đó làm đầy sẹo lõm, hỗ trợ phục hồi da bị hư tổn, khiến da trở nên căng mịn, làm mờ nếp nhăn và ngăn ngừa lão hóa.
Không chỉ vậy, sản phẩm còn được tăng cường thêm các chiết xuất thực vật như:
- Phức hợp các chiết xuất từ rau má Centellosides (asiaticoside, madecassoside, asiatic và madecassic acid): chống oxy hóa, hạn chế sản xuất quá mức các gốc tự do có thể gây viêm, hạn chế sự phát triển của vi khuẩn gây bệnh trong quá trình chữa lành vết thương, kích thích da sản xuất GAGs và Collagen.
- Phức hợp chống kích ứng Pro Anti-Irritant Complex (Dipotassium glycyrrhizinate, Anthemis Nobilis Flower Extract, Allantoin): đặc tính chống viêm, làm dịu da, tăng tốc độ phục hồi da tổn thương, nhạy cảm
- Chiết xuất tảo Fucus Vesiculosus: nổi bật với đặc tính chống oxy hóa, bảo vệ da khỏi các tác nhân gây hại từ môi trường và ngăn ngừa các dấu hiệu lão hóa sớm.
7. Tinh chất dưỡng sáng, kiềm dầu và phục hồi da oh!oh! Skin Health Serum
8. Nước xịt khoáng Avène Thermal Spring Water
Thành phần chính của Nước xịt khoáng Avène đến từ 100% nước suối khoáng nguyên chất tinh khiết được khai thác trực tiếp từ nguồn ở làng cổ miền Nam nước Pháp - Avène. Khi so sánh với các mạch nước khoáng khác, Avène sở hữu ưu điểm vượt trội nhờ hàm lượng khoáng cực thấp và sự hiện diện của nhiều nguyên tố vi lượng giàu dưỡng chất giúp nước khoáng Avène không hề làm khô da, trái lại có thể mang dưỡng chất tái tạo thấm sâu vào bên dưới bề mặt da. Ngoài ra, công thức còn được bổ sung thành phần sinh học Aqua. Dolomia độc đáo giúp xoa dịu mọi kích ứng, giảm mẩn đỏ và cảm giác khó chịu trên da ngay tức thì.
Theo một nghiên cứu được thực hiện vào năm 2020, Nước khoáng Avène cho kết quả lâm sàng giúp làm giảm đáng kể tình trạng mẩn đỏ sau khi peel da hoá học, trong khi sản phẩm nước khoáng đối chứng lại làm gia tăng tình trạng mẩn đỏ. Nghiên cứu đưa đến kết luận rằng nước khoáng Avène có đặc tính sinh học độc đáo giúp cải thiện cấu trúc da, giảm các phản ứng căng thẳng và mẩn đỏ, hỗ trợ làm dịu làn da đang nhạy cảm, kích ứng sau các thủ thuật thẩm mỹ. [2]III. Tổng kết
IV. Nguồn
[1] Damodarasamy, M., Johnson, R. S., Bentov, I., MacCoss, M. J., Vernon, R. B., & Reed, M. J. (2014). Hyaluronan enhances wound repair and increases collagen III in aged dermal wounds. Wound Repair and Regeneration, 22(4), 521–526. doi:10.1111/wrr.12192
[2] Mias, C., Maret, A., Gontier, E., Carrasco, C., Satge, C., Bessou‐Touya, S., … Duplan, H. (2020). Protective properties of Avène Thermal Spring Water on biomechanical, ultrastructural and clinical parameters of human skin. Journal of the European Academy of Dermatology and Venereology, 34(S5), 15–20.